Undergraduate Programs:
School of Health and Life Sciences
School of Business and Management
Postgraduate Program:
Professional Program:
Pharmacist Professional (Apoteker)
B5 in Skincare: How Pantothenic Acid Supports Skin Barrier and Hydration
Written by: Lydia Kurniadi & Anisa Nurjanah
Jakarta, 20 April 2026 – Healthy skin is everyone’s dream. Of course, healthy skin isn’t just about its external appearance, but also its internal health. Healthy skin from within is supported by a strong barrier and adequate hydration. One ingredient that can support both of these is vitamin B5, or pantothenic acid. A pantothenic acid derivative often used in skincare formulations is D-panthenol, commonly known as panthenol. This ingredient is commonly used in skincare for its soothing and hydrating effects.
Vitamin B5 (pantothenic acid) is a water-soluble B vitamin that plays a role in various biological processes, including cellular metabolism and lipid synthesis. In skincare, several derivatives of pantothenic acid are commonly used, such as D-Panthenol, DL-Panthenol, Panthenyl Triacetate, and Panthenyl Ethyl Ether. Vitamin B5 derivatives are more widely used in skincare because panthenol penetrates the skin more readily and remains present more stably than vitamin B5 itself. Vitamin B5 in its natural form (pantothenic acid) has difficulty penetrating the skin due to its high polarity.
The outermost layer of skin (stratum corneum) consists of two layers: a fatty layer and a water layer. Therefore, vitamin B5 has difficulty passing through the lipid bilayer, reducing its absorption. Meanwhile, panthenol is amphilic because it has a more neutral -OH group. This allows its molecules to more easily penetrate all layers of the skin, both the lipid and water layers of the stratum corneum.
Furthermore, at normal skin pH, vitamin B5 tends to ionize, becoming negatively charged, which inhibits diffusion through the lipid membrane, while panthenol remains neutral and allows it to move more freely. These two factors make panthenol more effective and stable in delivering the benefits of vitamin B5 to the skin.
Once applied to the skin, panthenol is converted to pantothenic acid via oxidation within the skin. Subsequently, pantothenic acid undergoes phosphorylation to 4′-phosphopantetheine, which is then converted into its active form, coenzyme A (CoA).
Coenzyme A plays a crucial role in various cellular metabolic processes, particularly in lipid synthesis. In the skin, CoA is involved in the formation of key barrier components, such as ceramides, sphingolipids, and free fatty acids. These three components form a structure that acts as “cement,” keeping skin cells tightly packed within the stratum corneum layer. Through this process, panthenol not only helps moisturize the skin from the outside but also helps strengthen the skin barrier from within. When this process functions optimally, the skin barrier becomes stronger and can prevent excessive water loss, keeping the skin hydrated.
Research shows that vitamin B5 (pantothenic acid) and its derivatives, such as panthenol, act through several interrelated biological mechanisms to maintain hydration and strengthen the skin barrier.
Panthenol draws water from the deeper layers of the skin to the outermost layer (stratum corneum) and helps retain it, thereby directly increasing skin hydration. This effect naturally makes the skin feel more moisturized and smooth, rather than dry and rough.
Vitamin B5 helps produce ceramides through their conversion to Coenzyme A (CoA) in keratinocytes. CoA is a crucial molecule involved in the synthesis of skin lipids, including ceramides. As a major component of the lipid matrix in the stratum corneum, making up approximately 50% of its lipids, ceramides act as “cement” to hold skin cells together and prevent water loss. By supporting this process from within, Vitamin B5 helps strengthen the skin barrier, keep skin hydrated, and better protect it from external factors.
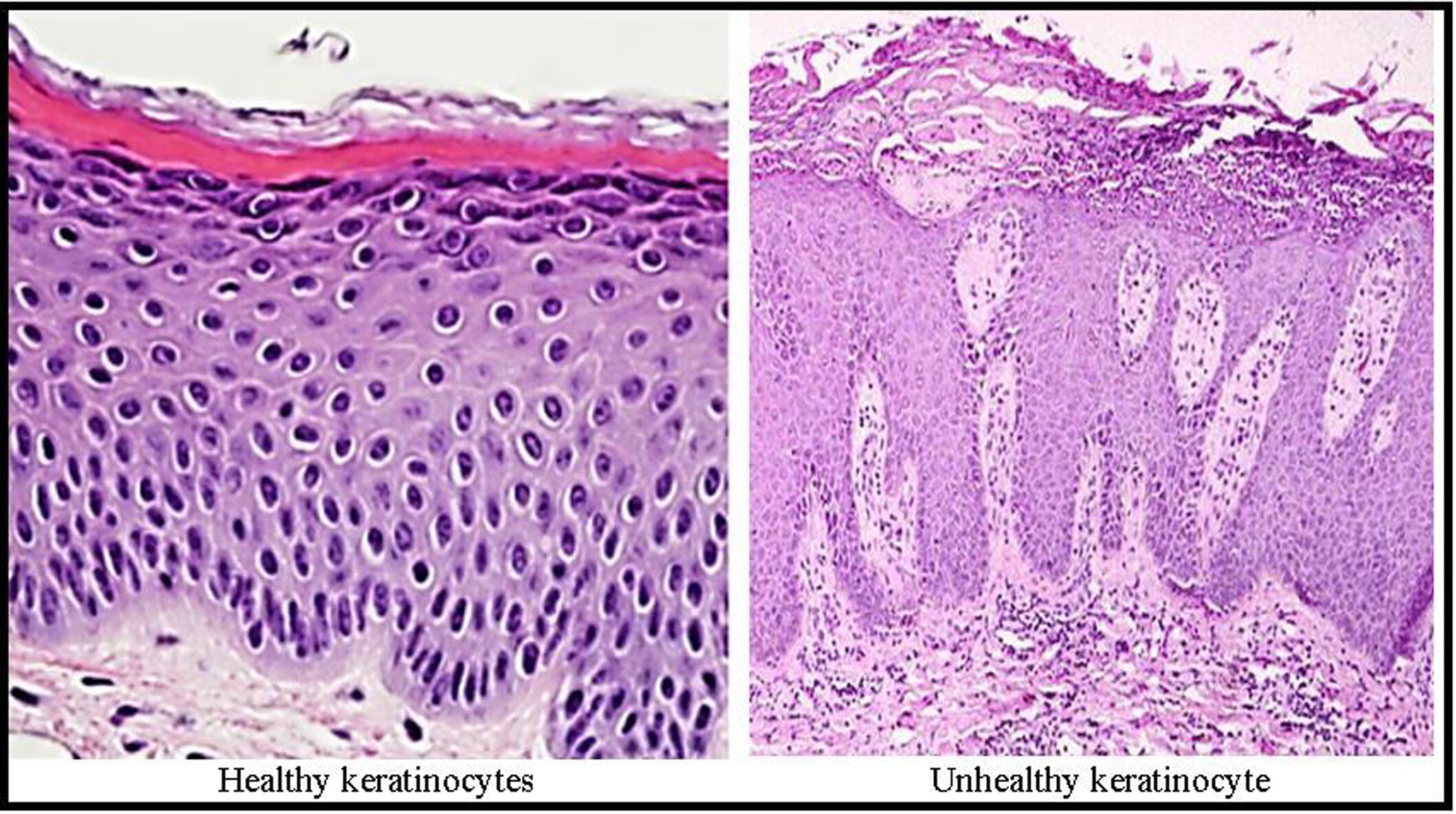
Keratinocytes are the primary cells that make up the epidermis. Increased keratinocyte proliferation means that keratinocytes multiply more rapidly, while keratinocyte differentiation means that the cells mature properly. This is certainly beneficial for the skin because it optimizes its regenerative process and accelerates recovery of the skin barrier when compromised, such as by environmental exposure or the use of certain active ingredients.
Source:Al-Dhubaibi, M.S., Mohammed, G.F., Bahaj, S.S., AbdElneam, A.I., Al-Dhubaibi, A.M. and Atef, L.M. (2025), The Role of Keratinocytes in Skin Health and Disease. Dermatological Reviews, 6: e70028. https://doi.org/10.1002/der2.70028
Vitamin B5 also has anti-inflammatory effects that help soothe the skin by reducing inflammatory responses, such as redness, stinging, and burning. As inflammation subsides, symptoms like redness and irritation can be alleviated, while also helping to reduce increased transepidermal water loss (TEWL), which often occurs in irritated skin. Lower TEWL helps maintain hydration and strengthen the skin barrier, as the skin can retain moisture longer and more consistently.
Currently, vitamin B5, also known as panthenol, is trending in the beauty industry. This ingredient is increasingly found in various skincare products, including moisturizers, toners, serums, and even facial washes. Given its powerful benefits for the skin, B5 has become a popular choice for formulations focused on hydration, soothing, and repairing the skin barrier. Not only does it provide moisturizing effects on the skin’s surface, but B5 also works at the cellular level to help maintain overall skin health.
i3L University’s Skinovation is an innovative cosmetic testing center in Indonesia that offers customizable, science-driven solutions, to help brands validate their claims with confidence.
By combining sensory studies, modern multi-probe analyzer, and cutting-edge in vitro testing, we empower cosmetic producers to strengthen product credibility and succeed in both local and global markets.
Undergraduate Programs:
School of Health and Life Sciences
School of Business and Management
Postgraduate Program:
Professional Program:
Pharmacist Professional (Apoteker)
Undergraduate Programs:
School of Life Sciences
School of Business
Postgraduate Program:
Professional Program: